퇴행성관절염 수술 후 재활방문으로 환자 케어
- 한미병원
- 작성일2018.05.20
- 조회수851


대구 달서구 이곡동에 위치한 정형외과 한미병원에서
무릎수술, 어깨수술 등을 받으시고 6개월 ~ 12개월이 지난
환우분 한분한분 댁에 재활방문을 다니고 있습니다.

『 무릎수술,어깨 수술 대구정형외과
한미병원의 체계적인 시스템 』
1. 주치의와의 소통
2. 정확한 진단과 치료
3. 수술 이후의 재활
수술 후 가정에서 일상생활하시는데 불편한 점이나
무릎 수술 및 어깨 수술 후 상태를 정확히 확인한 후 생활하시는데 필요한
운동법을 알려드리며 혼자서 수술한 부위의 관리 및 운동 등을 잘 하고 계시는지도 살펴보고 있습니다.
또한 궁금한 사항이나 진료와 연계되는 부분이나 치료가 더 필요할 수 있는 부분들도 확인을 하고 있답니다.

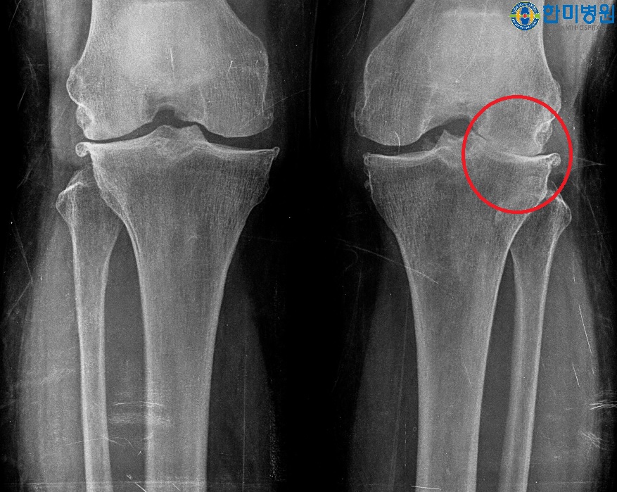
[무릎인공관절 수술 전 사진]
환자명 : 권**님
나 이 : 82세
수 술 일 : 2017년 06월 왼쪽 무릎인공관절 수술
수술 병원 : 대구 정형외과 한미병원
방 문 일 : 2018년 05월
환우분 상태 및 안내 : 수술 후 여행을 다닐만큼 좋은상태이며 오래 걸어다녀도 문제 없다고 하심수술 부위 굴곡 140° 정도 수월하시고 양반다리도 가능하심
수술받지 않은 우측다리는 통증이 조금 있다고 하심
평소 걷기 운동을 부지런히 하시고 근력운동의 중요성을 잘 아시고 본인 스스로 열심히 운동을 하심


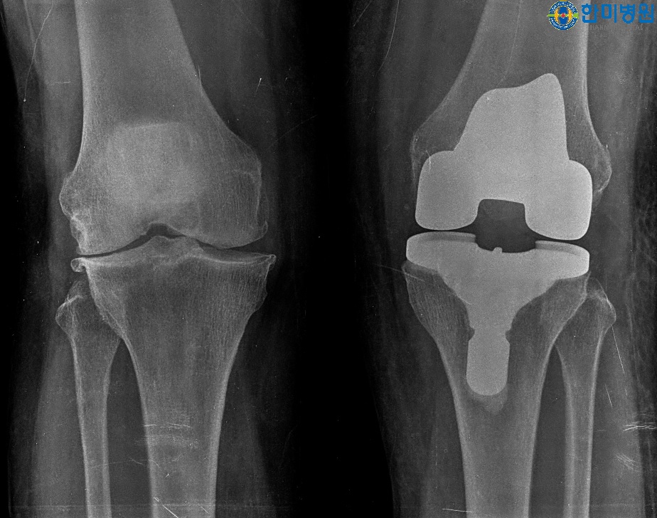
[무릎인공관절 수술 후 사진]
≡≡≡≡≡≡≡≡≡≡≡≡≡≡≡≡≡≡≡≡≡≡≡≡≡≡≡≡≡≡≡≡≡≡≡≡≡≡≡≡≡≡≡≡≡≡≡≡≡≡≡≡≡≡≡

[무릎인공관절 수술 전 사진]
환 자 명 : 김**님
나 이 : 64세
수 술 일 : 2017년 01월 오른쪽 무릎인공관절 수술
2017년 02월 왼쪽 무릎인공관절 수술
수술 병원 : 한미병원
방 문 일 : 2018년 05월
환우분 상태 및 안내 : 자고 일어나거나, 걸을 때 무릎에서 소리가 들린다고 하심 수술 전 완전히 걸을 수 없는 상태에서 지금은 매일 40분씩 걷기 운동하심, 수술 부위 굴곡 140° 정도 수월하시고 양반다리도 가능하심, 운동을 안할 경우 확실히 무릎의 움직임이 다르다고 하시면서 스스로 근력강화의 중요성을 인식하고 계심


[무릎인공관절 수술 후 사진]
※ 무릎 인공관절 수술 후 관리의 중요성 ※
의지를 가지고 꾸준히 운동을 하신분들의 예후가 확실히 좋으며
수술만 했다고 끝이 아니며 수술 후 관리가 무릎을 오래 쓸 수 있는 최선의 방법임을 꼭 아셔야 합니다.





댓글0